Clinical Cases
This section presents a selection of clinical cases managed by Dr Hocking, intended for referring dentists and medical colleagues. The cases illustrate treatment planning, surgical approach, and restorative outcomes across a range of clinical scenarios.
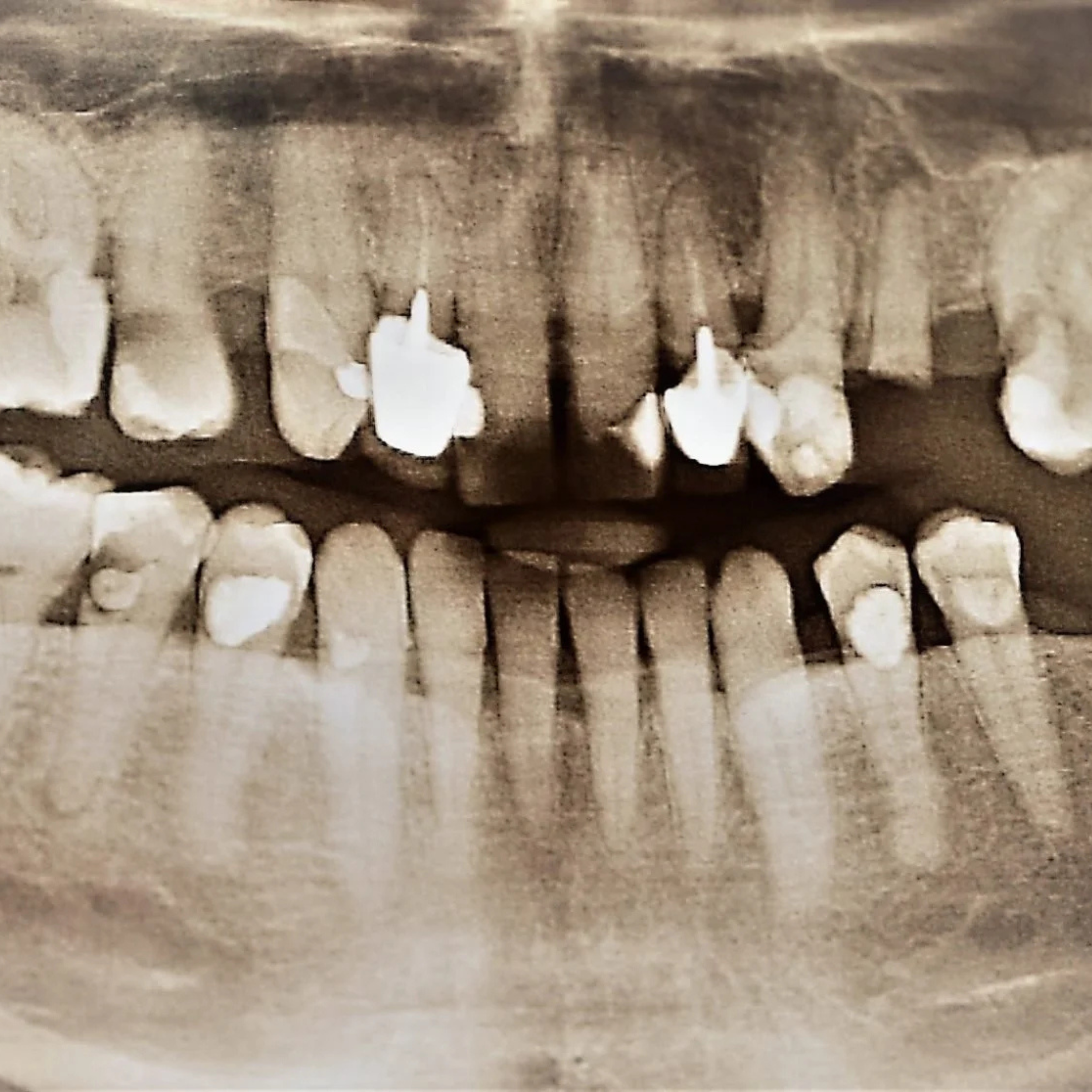
Complete Maxillary Implant-Supported Bridge Case
Complete Maxillary Implant-Supported Bridge Case
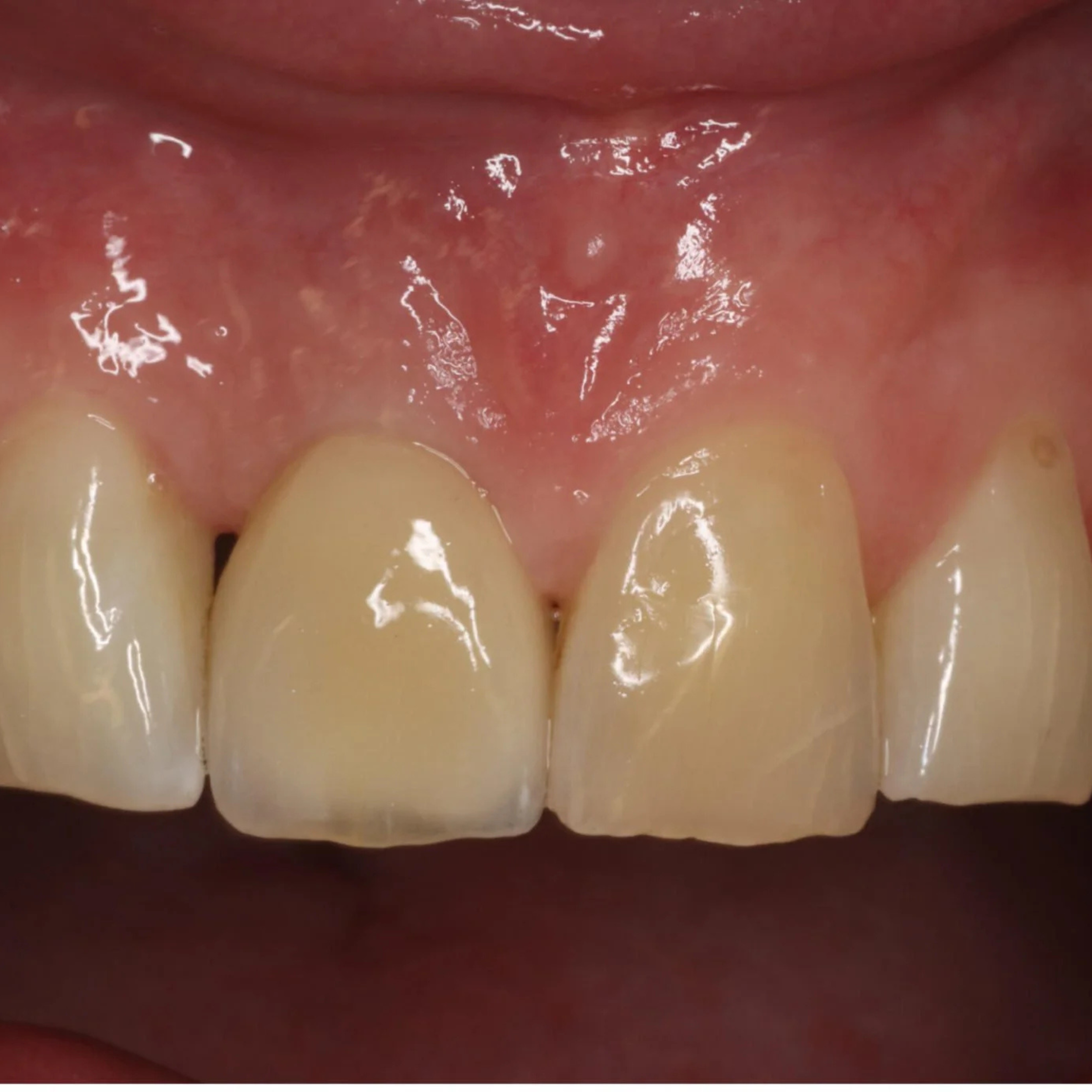
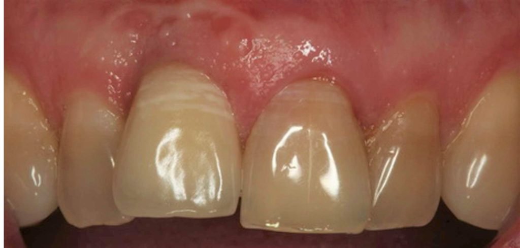
Implant Placement and Simultaneous Bone Grafting in the Aesthetic Zone
Implant Placement and Simultaneous Bone Grafting in the Aesthetic Zone