The Aesthetic Zone

Patient Presentation

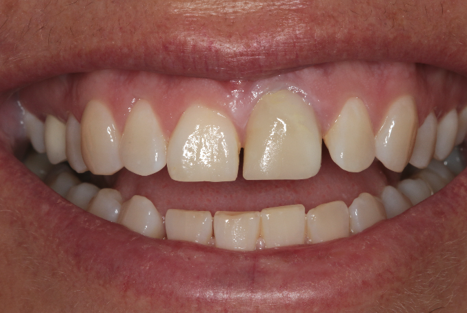
This young lady presented with a very high smile line and an unrestorable, periodontally affected central incisor (21).

She was very keen to preserve her existing diastema (or midline space) and not touch the perfectly healthy teeth on either side. She was very happy with her smile in general and not interested in orthodontics.

Treatment 

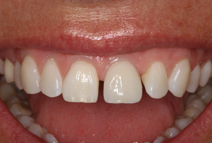
A delayed protocol was used along with bone and connective tissue grafting. A tissue level implant was used with a screw retained veneered zirconia restoration.

Pre-Treatment

Post Treatment

Previous
Previous

Implant Placement and Simultaneous Bone Grafting in the Aesthetic Zone