Single Tooth Immediate Placement

Patient Presentation

A healthy 40 year old gentleman presented with tooth 21 which was unrestorable due to gross internal resorbtion. He is a non- smoker with excellent oral hygiene.

Treatment Planning

Options to be considered following extraction of this tooth were doing nothing (not ideal as an anterior tooth), a partial acrylic denture, a cantilever bridge, or another single tooth implant.

Treatment

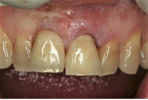
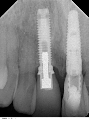
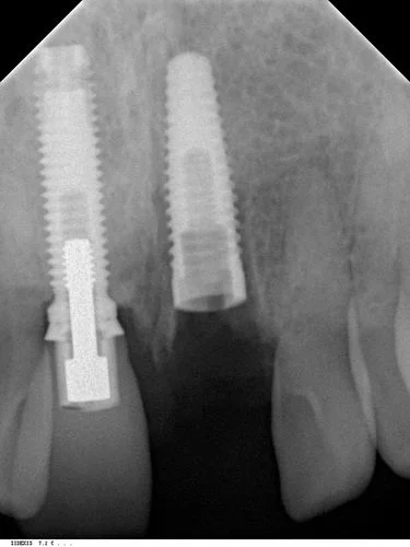
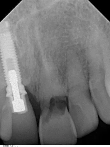
Tooth 21 was removed and due to excellent primary stability being achievable, with good interproximal bone height (Tarnow 1998) a Replace Select implant was placed immediately, with 40+ Ncm of torque being achieved. This allowed for placement of an immediate provisional restoration. The patient’s natural crown was used along with a titanium provisional abutment to construct a pleasing provisional restoration.

The abutment screw was torqued finger tight (~15 Ncm). The access cavity was then restored with cotton pellet and Cavit. The occlusion was adjusted to give no shim stock hold in ICP and no guidance in protrusion or lateral excursion.

Discussion

This patient was offered the option of local anaesthetic alone, oral sedation, or intravenous sedation. As he was not anxious, minor oral sedation along with profound local anaesthetic was used to provide a completely comfortable state for treatment to be carried out.

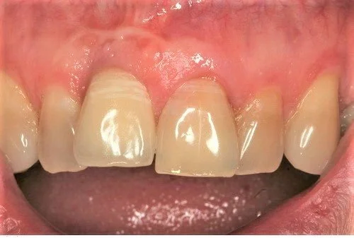
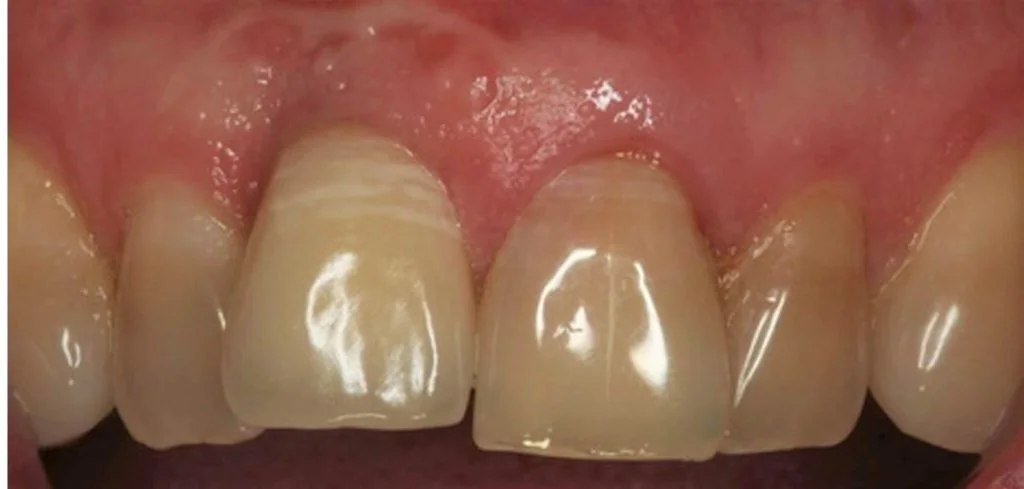
The photo below shows the post operative result one hour after extraction. Note the relative continued eruption (and alveolar bone growth) of the surrounding dentition compared to implant crown 11 placed 20 years ago. This is a common problem when implants are placed in young patients in the aesthetic zone.

Previous
Previous

Bridge in the Posterior Mandible

Next
Next

Closed Sinus Lift